DETAYLI BİLGİ İÇİN BİZE ULAŞIN
  • Lokasyon
  • İletişim
  • +90 532 695 94 59
  • +90 532 695 94 59
  • ANASAYFA
  • HİZMETLERİMİZ
    • Tüm Vücut MR
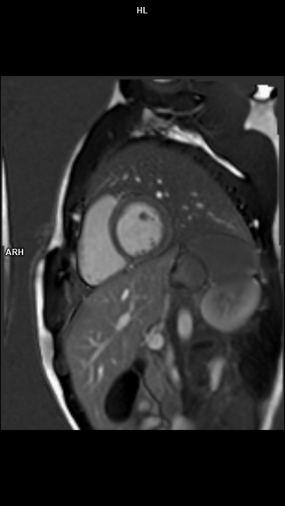
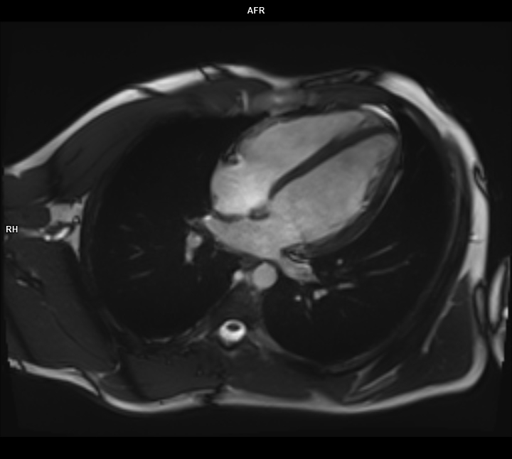
    • Kardiyak MR
    • Prostat MR
    • MRCP(Kolanjiyopankreatografi)
    • Difüzyon Mr
    • Perfüzyon Mr
    • Ürografi Mr
    • Açık Mr
    • Servikal Mr
    • Lomber Mr
  • 3 TESLA MR'IN AVANTAJLARI
  • 3 TESLA MR ÇEKİM GÖRÜNTÜLERİ
  • RANDEVU AL
  • İLETİŞİM

3 Tesla MR Çekim Görüntüleri

  • Anasayfa
  • 3 Tesla MR Çekim Görüntüleri

3 TESLA MR - © Copyright 2024. Startest Görüntüleme Merkezi